Browse articles on EyeWorld.org from the Cataract section. EyeWorld is the award-winning member publication of ASCRS. The magazine provides news and updates from the Society as well as clinical features in the areas of cataract, refractive, cornea, glaucoma, and practice management. It publishes quarterly with editorial direction from its medical editorial board and staff.

Unhappy patients after cataract surgery: Reasons for dissatisfaction and how to help

Even with a technically perfect outcome after cataract surgery, physicians may still find that some patients are unhappy. This dissatisfaction can be due to a number of factors that go beyond visual outcome. Two surgeons shared what can cause unhappiness and how they discuss it with patients.

Comments Off on Unhappy patients after cataract surgery: Reasons for dissatisfaction and how to help

An algorithm for ‘Getting to Happy’ after cataract surgery

A patient comes in for a postop visit unhappy with their vision after they’ve received a presbyopia-correcting IOL—now what? Tal Raviv, MD, created an algorithm, the Raviv “Getting to Happy” Post-IOL Algorithm, to help guide physicians through the process of managing a patient who is unhappy with their presbyopia-correcting IOL.

Comments Off on An algorithm for ‘Getting to Happy’ after cataract surgery

Comanagement in refractive cataract surgery

According to Tal Raviv, MD, comanagement has been a part of ophthalmology for more than 40 years as a means to coordinate surgical ophthalmic care among different provider types. “It has regained attention and scrutiny with the growth of refractive cataract surgery,” he said. “But today’s practice environment is quite different from the past.”

Comments Off on Comanagement in refractive cataract surgery

Examining incision shapes in cataract surgery with dense lenses

While cataract surgery continually experiences advancement in technologies, techniques, implants, and calculations, one area that seems seldom discussed in comparison is incisions. A study that was published in late 2021 in JAMA Ophthalmology, however, took a look at the effect of incision shape on a cataract surgery complication in the setting of dense cataracts.

Comments Off on Examining incision shapes in cataract surgery with dense lenses
Read more about the article Preventing and managing iris prolapse
Dr. Rao experienced iris prolapse at the start of a cataract case involving a nanophthalmic eye. Despite several management efforts, the iris continued to come out of the wound. Dr. Rao applied lessons learned in this first eye when he operated on the second. Source: Naveen Rao, MD

Preventing and managing iris prolapse

Iris prolapse can occur at any time during cataract surgery when the pressure inside the eye is higher than the pressure outside and when there is an open wound. Naveen Rao, MD, shared a complicated case involving iris prolapse, and Michael Snyder, MD, offered commentary on risk factors and how to handle such a case if it occurs.

Comments Off on Preventing and managing iris prolapse
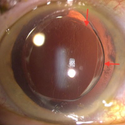
Read more about the article Negative dysphotopsia: How to explain it and management strategies
Slit lamp photo of secondary reverse optic capture with the optic prolapsed over the nasal and temporal capsule and the haptics in the capsule bag Source: Nicole Fram, MD

Negative dysphotopsia: How to explain it and management strategies

Negative dysphotopsia is an issue that patients may face following cataract surgery. While it frequently resolves on its own, several physicians said it’s important to discuss it with patients and explain what’s going on.

Comments Off on Negative dysphotopsia: How to explain it and management strategies

Intraoperative refractive guidance systems

The term intraoperative refractive guidance systems describes the technology offered to patients as an additional, out-of-pocket benefit for their cataract surgeries. Within this class of technologies are systems that give surgeons guidance on refractive issues during the case, including spherical power, cylinder power and alignment, and more.

Comments Off on Intraoperative refractive guidance systems

Premium IOLs in imperfect eyes

There is often discussion about the conditions an eye should meet in order to be successful with a premium, advanced technology IOL, but what about patients who desire independence from spectacles but who have less than perfect eyes? With more options available in the presbyopia-correcting IOL market, some can be suitable even if the patient has existing ocular pathology.

Comments Off on Premium IOLs in imperfect eyes