Browse articles on EyeWorld.org from the Cataract section. EyeWorld is the award-winning member publication of ASCRS. The magazine provides news and updates from the Society as well as clinical features in the areas of cataract, refractive, cornea, glaucoma, and practice management. It publishes quarterly with editorial direction from its medical editorial board and staff.

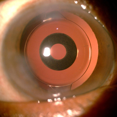
Latest lessons learned with the Light Adjustable Lens

With its approval in 2017, many physicians have several years of lessons learned with the Light Adjustable Lens (LAL, RxSight). With the more recent commercial launch of the LAL+, which has a modified aspheric surface to extend depth of focus slightly, ophthalmologists have even more to talk about.

Comments Off on Latest lessons learned with the Light Adjustable Lens

How to talk to patients about IOL options

With great opportunity in the world of IOLs also comes a challenge: how to discuss these options efficiently in a targeted manner without overwhelming or causing confusion for the patient. EyeWorld spoke with three members of its Cataract Editorial Board to learn how they manage this discussion.

Comments Off on How to talk to patients about IOL options

An appreciation for the continued progress of our subspecialty

“Many of our ‘tried and true’ methods for managing ophthalmic disorders are being revisited, rethought, and updated as we leverage new insights into their underlying pathology … ,” said Cataract Editor Mitchell Weikert, MD, in his introduction, in which he also previewed the articles in the section.

Comments Off on An appreciation for the continued progress of our subspecialty

Cataract surgery in patients with keratoconus

When performing cataract surgery in patients with keratoconus, there are considerations for surgical planning, lenses, and techniques that surgeons need to account for to ensure success. Two ophthalmologists discussed how they handle these patients, including testing, formulas, and IOL selection.

Comments Off on Cataract surgery in patients with keratoconus

On- and off-label indications for small aperture technology

With increased experience, physicians are discovering ways to use the IC-8 Apthera IOL (Bausch + Lomb) off label. Two of these physicians discussed their experience using the lens, including ways that it can apply to patients who previously had limited options, particularly those with irregular astigmatism.

Comments Off on On- and off-label indications for small aperture technology
Read more about the article I wish I had … identified and treated ABMD before cataract surgery
This is a photo of a patient with ABMD and cataract. Note the irregular lines that resemble a coastline (map), small punctate opacities (dot), and thickened epithelial ridges (fingerprint)—hence the name map-dot-fingerprint dystrophy. This patient had both irregular astigmatism and recurrent epithelial erosions. Superficial keratectomy with diamond burr polishing was performed to prepare the cornea for future cataract surgery. Source: Rahul Tonk, MD, MBA

I wish I had … identified and treated ABMD before cataract surgery

“My eyes are irritated … they weren’t before cataract surgery.” “My vision fluctuates … it goes in and out.” These just a couple of phrases an ophthalmologist might hear when ABMD is missed prior to cataract surgery, causing them to wish they had found and treated it preoperatively.

Comments Off on I wish I had … identified and treated ABMD before cataract surgery

Perspectives supporting femto in modern cataract surgery

Since its approval, femtosecond laser-assisted cataract surgery (FLACS) has divided cataract surgeons into frequent users of the technology and those who do not think that it brings value to their practice. EyeWorld spoke with two surgeons who say they consistently benefit from FLACS in their practice.

Comments Off on Perspectives supporting femto in modern cataract surgery