Cataract surgery in long eyes
Meeting the challenges that come with eyes of long axial lengths
Browse articles from EyeWorld 2016 issues. EyeWorld is the award-winning member publication of ASCRS. The magazine provides news and updates from the Society as well as clinical features in the areas of cataract, refractive, cornea, glaucoma, and practice management. It publishes quarterly with editorial direction from its medical editorial board and staff.
Meeting the challenges that come with eyes of long axial lengths
Is an angle closure glaucoma suspect off the hook once the laser peripheral iridotomy (LPI) is performed? Not quite.
Those unfamiliar with fluidics in the eye might not risk changing settings on their phacoemulsification machine and could thus be missing out on significant safety and efficiency opportunities. Learn about personalizing your phaco settings.
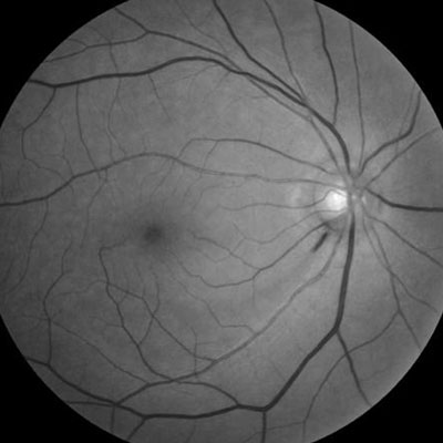
Optic disc hemorrhage is a common clinical feature of glaucoma, indicating active disease with likely progression and visual field loss. Detection necessitates the utmost vigilance in patients diagnosed with glaucoma and in those who are glaucoma suspects.
Amniotic membrane is designed for use with specific corneal and conjunctival diseases. It assists in wound healing and prevents scar tissue formation as it has powerful antifibrotic and anti-scarring properties. But some experts say it is not a substitute for a bandage contact lens.
The SMILE (small incision lenticule extraction) procedure (Carl Zeiss Meditec, Jena, Germany) is increasing in popularity, with many studies on its results and how it compares to LASIK. Though it does not have as long of a track record as LASIK, which has been used for around 2 decades, SMILE is gaining ground, with particular application for patients with myopia.
Eric Donnenfeld, MD, Rockville Centre, New York, said: This patient has three significant problems that are all likely contributing to his problem of glare and halo: IOL opacifications, hyperopic refractive error, and a fixed dilated pupil. The cataract surgery was otherwise done well and the 1-piece acrylic IOL is in the bag.
Over the past 2 decades, numerous epidemiologic studies have revealed that normal tension glaucoma (NTG) represents a much higher proportion of all open-angle glaucoma than previously thought. These studies have also demonstrated significant regional variation in the prevalence of NTG. This was the focus of one of the glaucoma sessions at the 2016 World Ophthalmology Congress (WOC) in Guadalajara, Mexico.